产品中心
Products
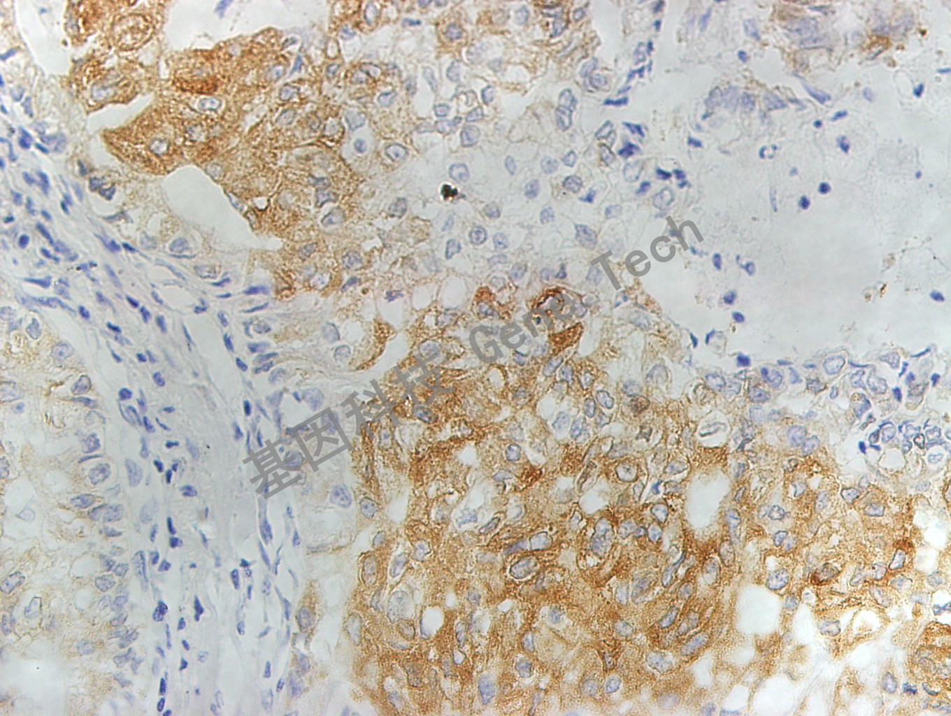
MRP1 鼠抗人 多药耐药相关蛋白(MRP)抗体试剂(免疫组织化学法)
浏览次数:917 发布时间:2019-01-16
| 沪闵械备20190199号 | ||
| 克隆号:QCRL-1 | 种属:鼠 | 适用染示系统:GTvisionTM |
| 预处理:高pH热修复 | 阳性部位:细胞浆 | 阳性对照:乳腺癌 |
简介:MRP1(Multidrug resistance-associated protein 1)是一种酸性磷酸化酶,主要表达于肺、结肠、输卵管、子宫、脑、肝脏及胰腺组织。在约44%的卵巢癌和80%的乳腺癌中有表达,前列腺癌也有表达增强。主要用于肿瘤的多药耐药机制的研究。 | ||
![]() | ||
| 肺石蜡切片,用 MRP1(GT2015)染色,细胞浆阳性,DAB 显色 | ||
| 货号 | GT201502 | GT201504 | GT201507 | GT201529 |
| 规格 | 2.0ml | 4.0ml | 7.0ml | 0.2ml浓缩液 |



