产品中心
Products
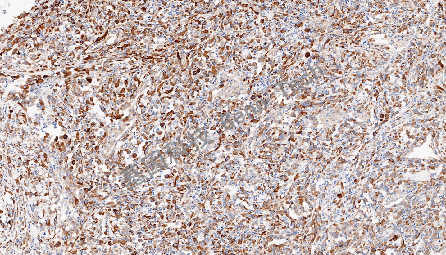
ROS1 兔抗人 ROS1 抗体试剂(免疫组织化学法)
浏览次数:130 发布时间:2024-02-21
| 沪闵械备20230578号 | ||
| 克隆号:EPMGHR2 | 种属:兔 | 适用染色系统:GTvisionTM |
预处理:高pH热修复 | 阳性部位:细胞浆 | 阳性对照:非小细胞肺癌 |
| 简介:ROS1也称C-ros肉瘤致癌因子-受体酪氨酸激酶(ROS proto-oncogene 1, receptor tyrosine kinase),是一种具有独特致癌作用的病毒原癌基因,定位于染色体6q21,属于酪氨酸激酶胰岛素受体的家族成员之一。ROS1可以激活与细胞分化、增殖、生长及存活相关的信号通路。该基因编码的蛋白是具有酪氨酸激酶活性的Ⅰ型整合膜蛋白,可以作为生长或分化因子受体起作用。可用于肺癌、胃癌、神经胶质母细胞瘤、胆管癌和卵巢癌等肿瘤中ROS1基因重排的鉴定。ROS1基因重排多发生在年轻、不吸烟或轻度吸烟的肺腺癌患者,在非小细胞肺癌(NSCLC)患者中发生率为1-2%,可用ALK抑制剂克唑替尼治疗,主要用于非小细胞肺癌的治疗研究。 | ||
![]() | ||
| 非小细胞肺癌石蜡切片,用 ROS1(GT2546)染色,细胞浆阳性,DAB 显色。 | ||
| 货号 | GT254602 |
| 规格 | 2.0ml |



