产品中心
Products
FHIT 兔抗人 FHIT 抗体试剂(免疫组织化学法)
浏览次数:138 发布时间:2024-01-10
| 沪闵械备20230017号 | ||
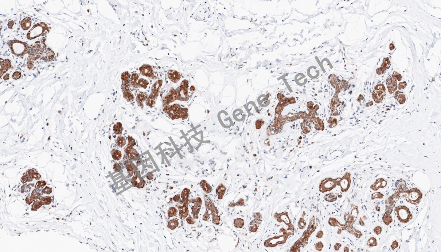
| 克隆号:GR523 | 种属:兔 | 适用染色系统:GTvisionTM |
| 预处理:高pH热修复 | 阳性部位:细胞浆/细胞核 | 阳性对照:乳腺 |
| 简介:脆性组氨酸三联体(fragile histidine triad,FHIT)基因是定位于3p14.2的一个肿瘤抑制基因,在人体中广泛存在。其蛋白产物FHIT参与信号转导、细胞周期和细胞凋亡等多个环节的调控,在许多肿瘤组织及肿瘤细胞系中表现出不同程度的表达缺失或下降,如乳腺癌、肺癌、胃癌等。因此,FHIT在肿瘤的早期诊断、治疗和预后评估等方面具有临床意义。 | ||
![]() | ||
| 乳腺石蜡切片,用 FHIT(GT2477)染色,细胞浆/细胞核阳性,DAB 显色。 | ||
| 货号 | GT247702 | GT247707 |
| 规格 | 2.0ml | 7.0ml |



