产品中心
Products
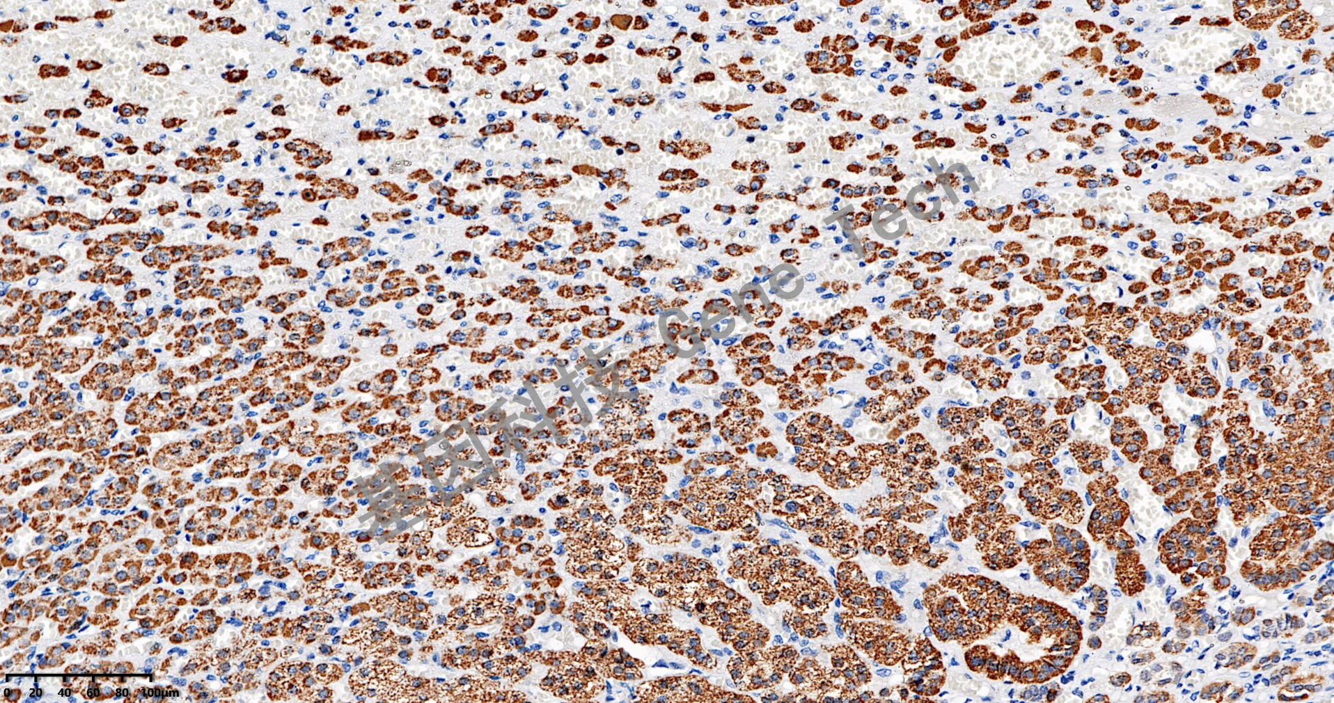
CYP11B1 兔抗人 CYP11B1 抗体试剂 (免疫组织化学法)
浏览次数:187 发布时间:2023-12-12
| 克隆号:poly | 种属:兔 | 适用染色系统:GTvisionTM |
| 预处理:高pH热修复 | 阳性部位:细胞浆 | 阳性对照:肾上腺皮质 |
| 简介:CYP11B1是一种参与肾上腺皮质激素生物合成的细胞色素P450单加氧酶,可以调节11-脱氧皮质酮代谢为皮质酮、11-脱氢皮质醇代谢为皮质醇。CYP11B1通常在肾上腺皮质的球状带中表达,定位于线粒体内膜。编码该蛋白的CYP11B1基因突变会导致11β-羟化酶缺乏症,这是一种常染色体隐性遗传的先天性肾上腺皮质增生症。此外,CYP11B1基因表达的下调可能参与了醛固酮瘤的形成。 | ||
![]() | ||
| 肾上腺皮质石蜡切片,用 CYP11B1(GT2583)染色,细胞浆阳性,DAB 显色。 | ||
| 货号 | GT258302 | GT258307 |
| 规格 | 2.0ml | 7.0ml |



