产品中心
Products
CYP11B2 兔抗人 CYP11B2 抗体试剂(免疫组织化学法)
浏览次数:295 发布时间:2023-10-08
| 克隆号:EPR10494 | 种属:兔 | 适用染色系统:GTvisionTM |
| 预处理:高pH热修复 | 阳性部位:细胞浆 | 阳性对照:肾上腺皮质、肾 |
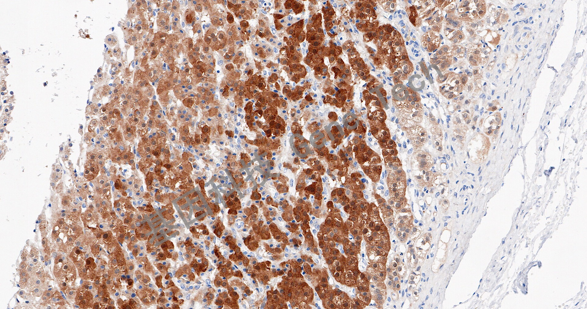
| 简介:CYP11B2又称醛固酮合成酶,是一种催化肾上腺皮质激素醛固酮生物合成的细胞色素P450单加氧酶,定位于线粒体内膜。在肾上腺中,CYP11B2主要在球状带中表达,其IHC检测有助于辅助诊断肾上腺皮质病变。此外,部分人体心肌细胞、血管内皮细胞、间质细胞及平滑肌细胞中也存在CYP11B2,在心肌病变、高血压和动脉硬化的发生中发挥调节作用。 | ||
![]() | ||
| 肾上腺皮质石蜡切片,用 CYP11B2(GT2569)染色,细胞浆阳性,DAB 显色。 | ||
| 货号 | GT256902 |
| 规格 | 2.0ml |



