产品中心
Products
CRP 兔抗人 CRP 抗体试剂(免疫组织化学法)
浏览次数:414 发布时间:2023-09-11
| 克隆号:GR020 | 种属:兔 | 适用染色系统:GTvisionTM |
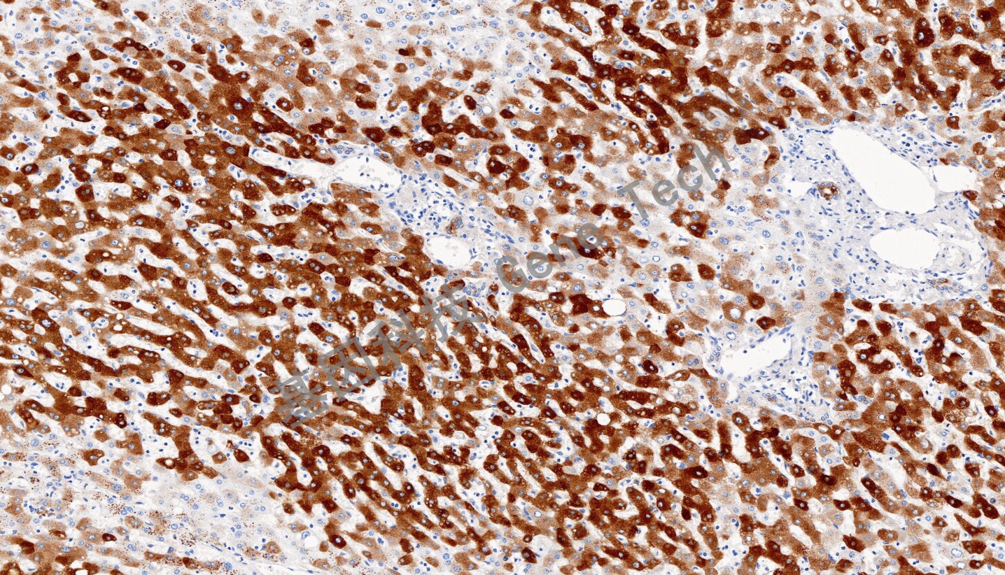
| 预处理:高pH热修复 | 阳性部位:细胞浆 | 阳性对照:肝 |
| 简介:C-反应蛋白(C-reactive protein,CRP)是在机体受到感染或组织损伤时由肝脏合成的用于保护身体的急性期反应蛋白,具有激活补体和调理吞噬的作用,清除入侵机体的病原微生物和损伤、坏死、凋亡的组织细胞。肝内胆管癌(intrahepatic cholangiocarcinoma,ICC)分为胆管型和细胆管型两种亚型,其中胆管型ICC肿瘤细胞富含黏蛋白,细胞基质丰富,S100P和TFF1多呈阳性,而细胆管型ICC肿瘤细胞内,无黏蛋白,CD56、N-钙黏蛋白以及CRP多呈阳性。因此,CRP可用于肝内胆管癌的分型。 | ||
![]() | ||
| 肝石蜡切片,用 CRP(GT2568)染色,细胞浆阳性,DAB 显色。 | ||
| 货号 | GT256802 |
| 规格 | 2.0ml |



