产品中心
Products
BAP1 兔抗人 BAP1 抗体试剂(免疫组织化学法)
浏览次数:455 发布时间:2023-09-11
| 沪闵械备20230623号 | ||
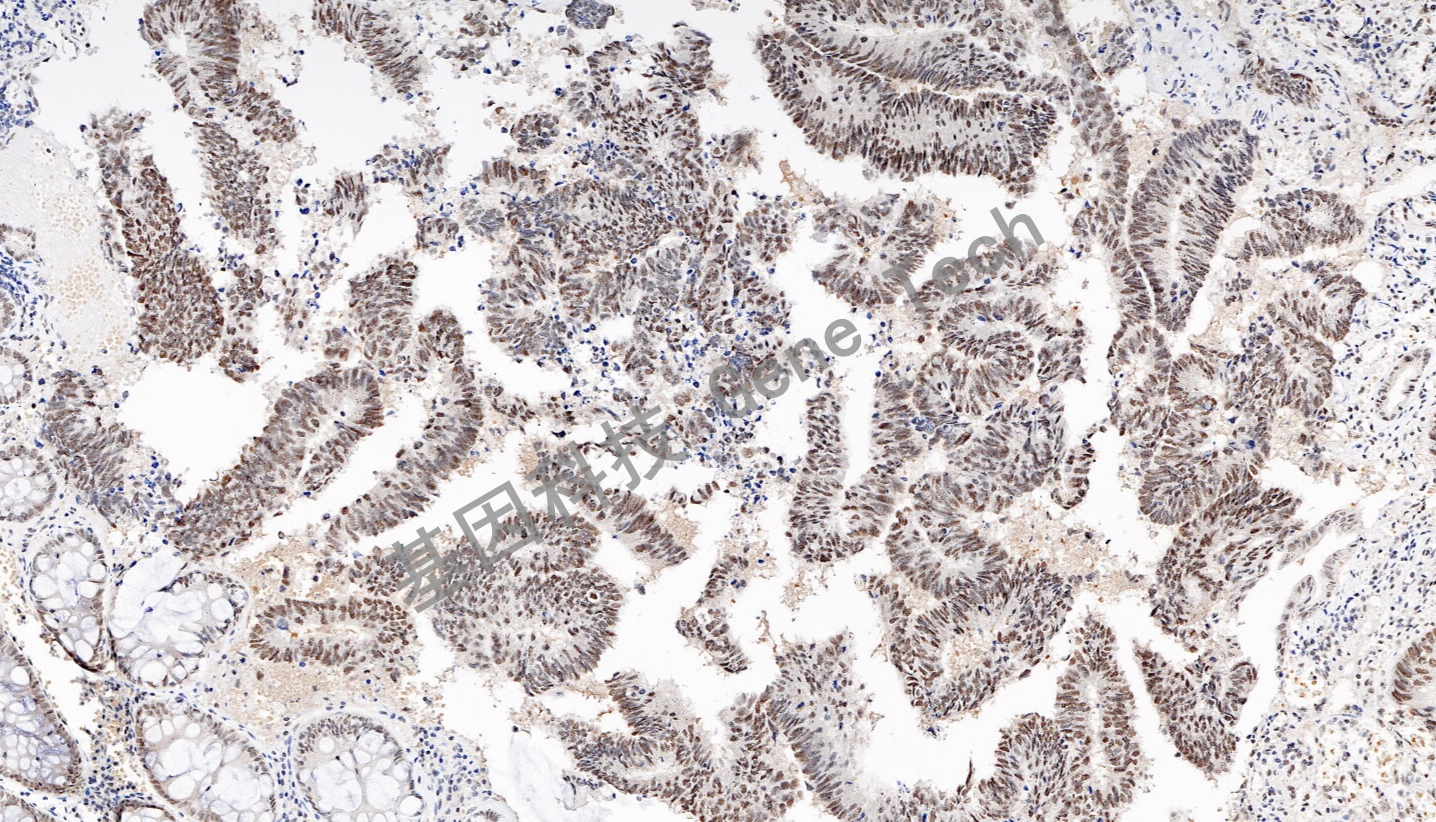
| 克隆号:GR022 | 种属:兔 | 适用染色系统:GTvisionTM |
| 预处理:高pH热修复 | 阳性部位:细胞核 | 阳性对照:结肠癌 |
| 简介:BAP1基因(BRCA1相关蛋白1)是一种80 kDa的蛋白质,它通过靶向降解或改变其他蛋白质的活性功能来去除泛素修饰物。因此,BAP1有助于参与调节不同细胞过程的靶蛋白功能。BAP1基因的种系突变已被确定为一种新型的肿瘤易感综合症的遗传驱动力,其导致遗传性、早发性癌症的风险增加。BAP-1与多种类型癌症的早发和/或风险增加有关,包括黑色素瘤、恶性间皮瘤、结肠癌、肾细胞癌和其它恶性肿瘤。识别特定的BAP1缺失在肿瘤早期筛查、诊断和预后判断有着重要意义。 | ||
![]() | ||
| 结肠癌石蜡切片,用 BAP1(GT2567)染色,细胞核阳性,DAB 显色。 | ||
| 货号 | GT256702 | GT256707 |
| 规格 | 2.0ml | 7.0ml |



