产品中心
Products
PD-L1 兔抗人 PD-L1 抗体试剂(免疫组织化学法)(GR110)
浏览次数:488 发布时间:2023-09-11
| 沪闵械备20230580号 | ||
| 克隆号:GR110 | 种属:兔 | 适用染色系统:GTvisionTM |
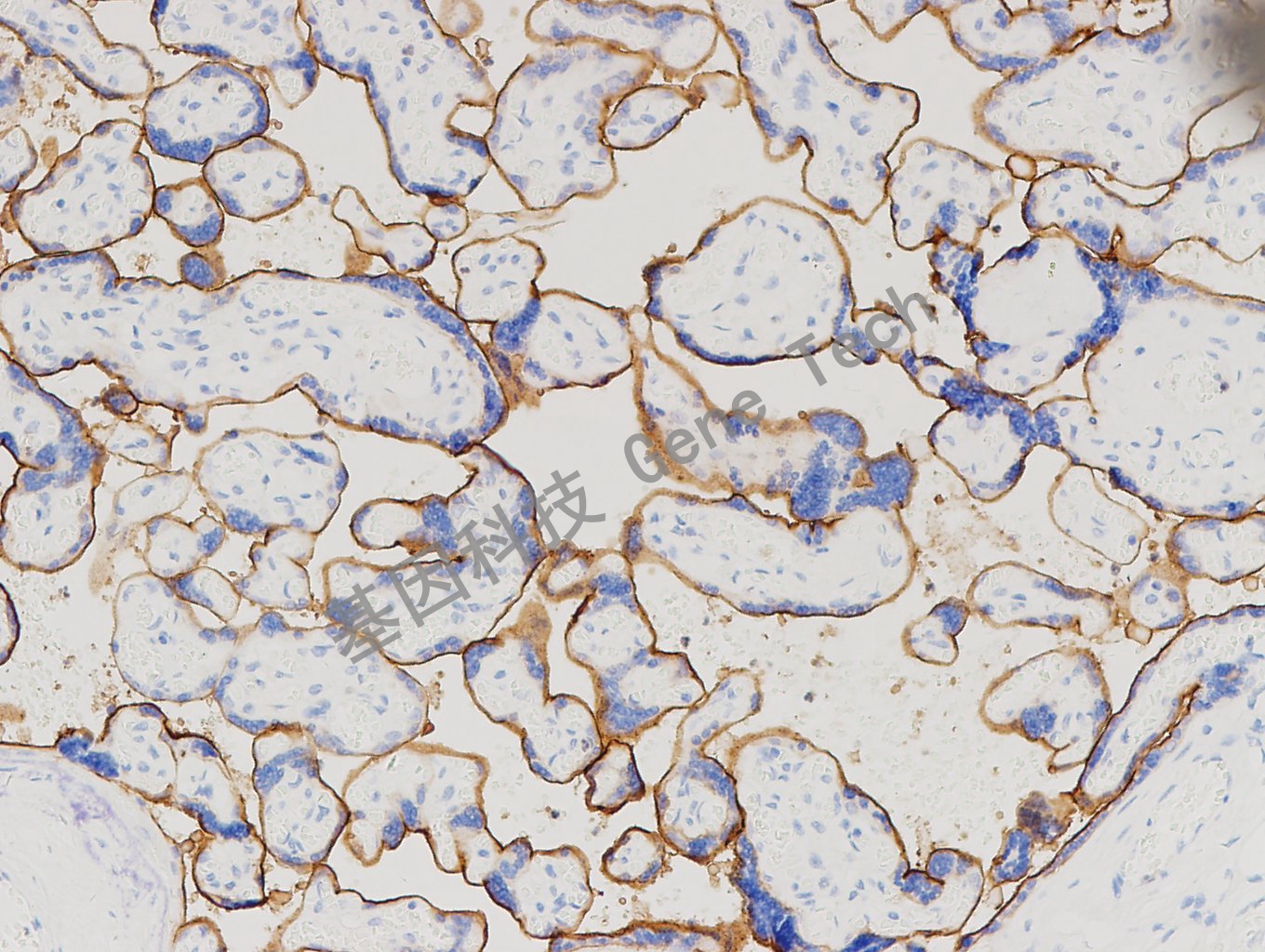
| 预处理:高pH热修复 | 阳性部位:细胞膜 | 阳性对照:胎盘 |
| 简介:PD-L1(Programmed cell death ligand 1, 程序性细胞死亡配体1)是I型跨膜蛋白,参与细胞调节和免疫反应。广泛表达于活化T/B细胞、单核/巨噬细胞、树突状细胞、间质干细胞、胎盘滋养层细胞、血管内皮细胞、上皮细胞、成纤维网状细胞、胰岛细胞、心肌内皮和胸腺皮质上皮细胞等。在肺癌、尿路上皮癌、胃癌、宫颈癌、头颈癌、食管癌、乳腺癌、结直肠癌、黑色素瘤、卵巢癌、肾细胞癌、胰腺癌等肿瘤中阳性表达,与肿瘤的免疫逃逸机制相关。 | ||
![]() | ||
| 胎盘石蜡切片,用 PD-L1(GT2562)染色,细胞膜阳性,DAB 显色。 | ||
| 货号 | GT256202 | GT256207 | GT256229 |
| 规格 | 2.0ml | 7.0ml | 0.2ml浓缩液 |



