产品中心
Products
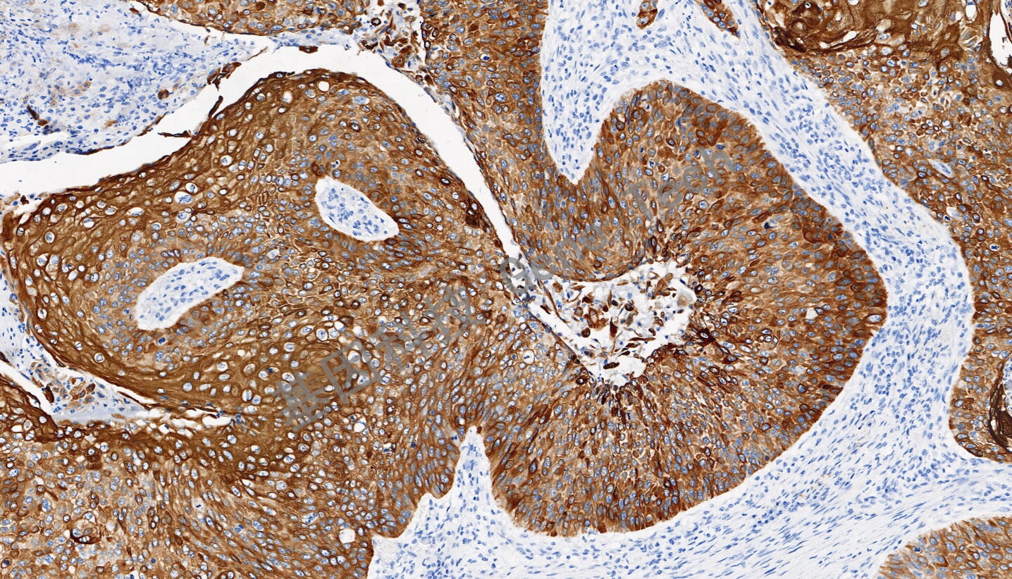
CK6 兔抗人 细胞角蛋白 6(CK6)抗体试剂(免疫组织化学法)
浏览次数:314 发布时间:2023-09-11
| 沪闵械备20230014号 | ||
| 克隆号:GR316 | 种属:兔 | 适用染色系统:GTvisionTM |
| 预处理:高pH热修复 | 阳性部位:细胞浆 | 阳性对照:食管癌 |
| 简介:细胞角蛋白6(CK6)是一种上皮特异性的II型角蛋白,通常与创伤后的角质细胞活化相关,因此也被认为是一类愈合因子。CK6总是与I型角蛋白CK16和/或CK17成对出现,通常在尚未角质化的上皮组织的基底层细胞中表达,如口腔粘膜、食道、舌乳头,在毛囊外根鞘中也有明显表达。在肿瘤组织中,CK6在多数的鳞状上皮癌中表达,特别是在鳞癌癌巢的中间成熟细胞层。CK6通常与CK5一起配套用于鳞癌与腺癌、间皮瘤与腺癌的鉴别诊断,也可用于导管上皮恶性增生的鉴别。 | ||
![]() | ||
| 食道癌石蜡切片,用 CK6(GT2490)染色,细胞浆阳性,DAB 显色。 | ||
| 货号 | GT249002 |
| 规格 | 2.0ml |



