产品中心
Products
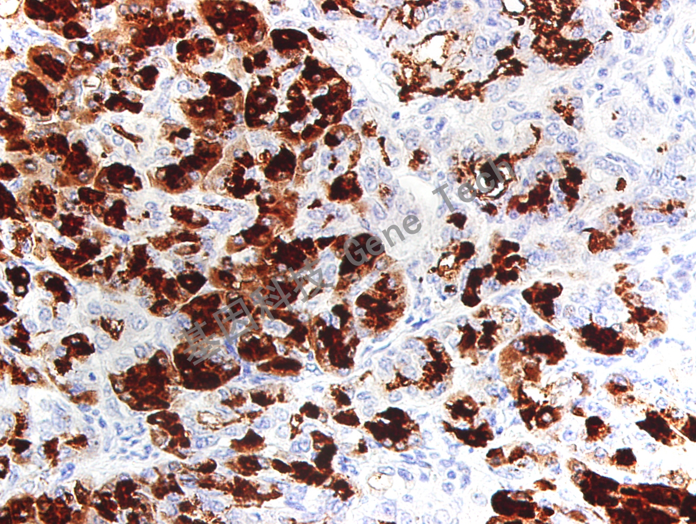
Trypsin 兔抗人 Trypsin 抗体试剂(免疫组织化学)
浏览次数:341 发布时间:2023-07-31
| 沪闵械备20230585号 | ||
| 克隆号:EPR19498-43 | 种属:兔 | 适用染色系统:GTvisionTM |
| 预处理:高pH热修复 | 阳性部位:细胞浆 | 阳性对照:胰腺 |
| 简介:胰蛋白酶Trypsin是一种肽链内切酶,它能把多肽链中赖氨酸和精氨酸残基中的羧基端切断。而且还能限制分解糜蛋白酶原、羧肽酶原、磷脂酶原等其它酶的前体,起活化作用。是特异性最强的蛋白酶,在决定蛋白质的氨基酸排列中,它成为不可缺少的工具。常用于胰腺腺泡细胞癌(PACC)诊断的传统免疫组化标志物。 | ||
![]() | ||
| 胰腺癌石蜡切片,用 Trypsin(GT2549)染色,细胞浆阳性,DAB 显色。 | ||
| 货号 | GT254902 |
| 规格 | 2.0ml |



