产品中心
Products
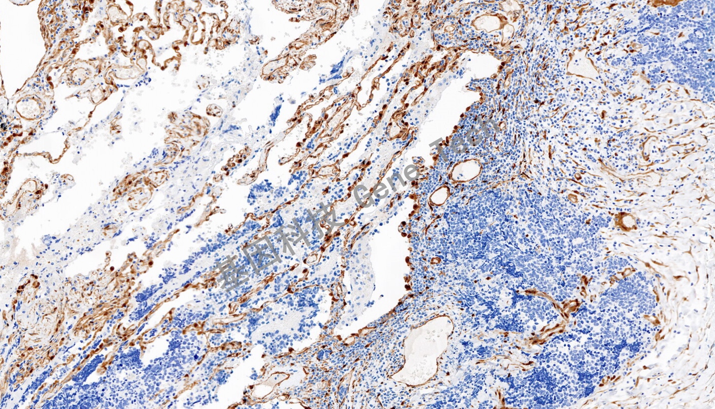
YAP1 兔抗人 YAP1 抗体试剂(免疫组织化学法)
浏览次数:469 发布时间:2023-06-19
| 沪闵械备20230504号 | ||
| 克隆号:GR513 | 种属:兔 | 适用染色系统:GTvisionTM |
| 预处理:高pH热修复 | 阳性部位:细胞浆/细胞核 | 阳性部位:小细胞肺癌 |
| 简介:YAP1(Yes associated protein 1)是一种重要的信号传导分子,属于Hippo信号通路的核心成员,通过核转位和结合特定的转录因子来调控细胞增殖、凋亡和干细胞自我更新等生物学过程。YAP1的异常表达与多种肿瘤的发生和发展密切相关,如肝癌、胰腺癌、肺癌等,可能成为癌症治疗的潜在靶点。 | ||
![]() | ||
| 小细胞肺癌石蜡切片,用 YAP1(GT2540)染色,细胞浆/细胞核阳性,DAB 显色。 | ||
| 货号 | GT254002 |
| 规格 | 2.0ml |



