产品中心
Products
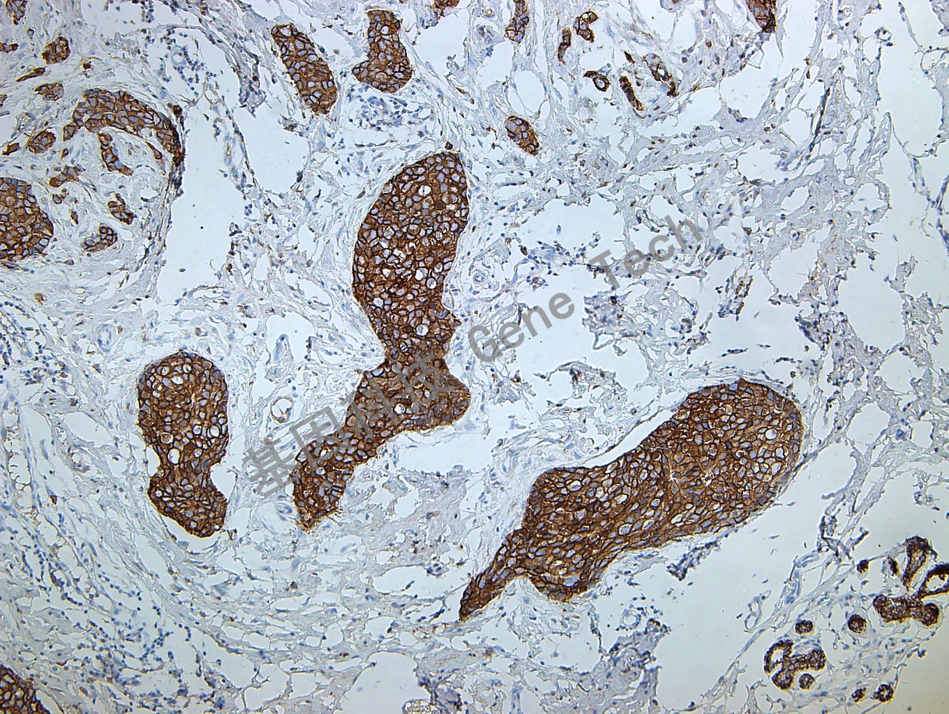
E-Cadherin 鼠抗人 E-Cadherin 抗体试剂(免疫组织化学)
浏览次数:474 发布时间:2023-06-19
| 沪闵械备20230500号 | ||
| 克隆号:GM108 | 种属:鼠 | 适用染色系统:GTvisionTM |
| 预处理:高pH热修复 | 阳性部位:细胞膜 | 阳性对照:乳腺癌/结肠 |
| 简介:E-cadherin是跨膜糖蛋白,属于上皮细胞钙离子依赖的粘附分子家族,在组织的生长发育中发挥重要作用,其功能的降低/ 丧失可导致细胞连接的破坏,与肿瘤细胞的浸润和转移相关。其表达与肿瘤分化程度成反比。表达的缺失与许多癌的进展相关,包括乳腺癌、膀胱癌和头颈部鳞癌,也同肝细胞癌高级别相关。尽管此抗体上皮样肉瘤中不表达,但是若在肉瘤中表达可能同上皮样分化相关。在渗出液中区别非肿瘤性间皮细胞和癌细胞(在渗出液中的卵巢肿瘤细胞E-cadherin 高表达);在鉴别间皮瘤和其他缺少细胞粘附力的肿瘤(如:乳腺小叶癌和胃癌,这些肿瘤有着很高频率的突变。)中有一些价值;现在也有报道可用于乳腺小叶癌和导管癌的鉴别(后者常为阳性,前者常阴性)。 | ||
![]() | ||
| 乳腺癌石蜡切片,用 E-Cadherin(GT2348)染色,细胞膜阳性,DAB 显色。 | ||
| 货号 | GT234802 | GT234807 | GT234829 |
| 规格 | 2.0ml | 7.0ml | 0.2ml浓缩液 |



