产品中心
Products
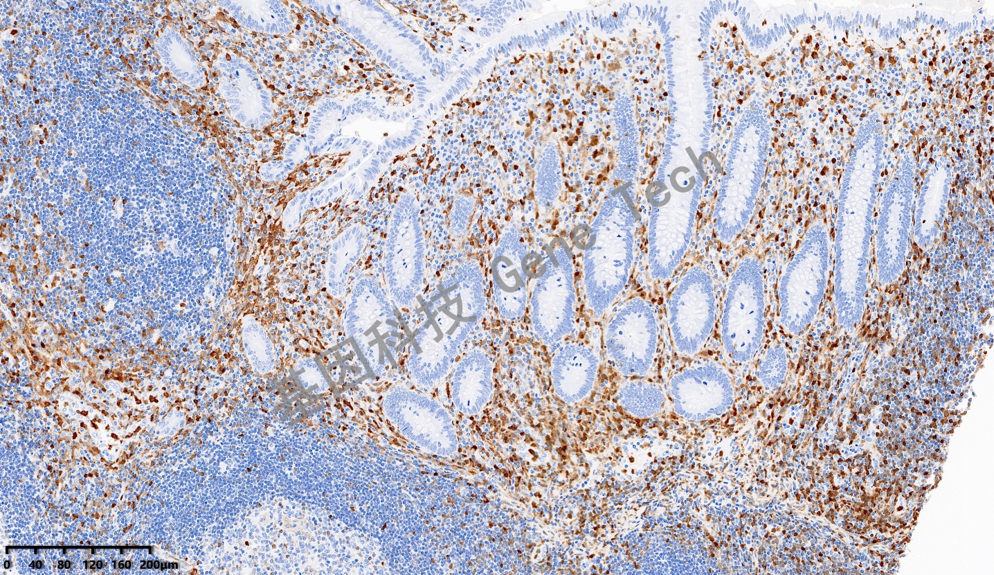
S-100 A4 兔抗人 S100 钙结合蛋白A4(S-100 A4)抗体试剂(免疫组织化学法)
浏览次数:516 发布时间:2023-04-11
| 沪闵械备20200043号 | ||
| 克隆号:EPR14639(2) | 种属:兔 | 适用染色系统:GTvisionTM |
| 预处理:高pH热修复 | 阳性部位:细胞膜/细胞浆/细胞核 | 阳性对照:扁桃体 |
| 简介:S-100 A4蛋白是钙离子结合蛋白S-100家族中的重要成员,表达于肿瘤细胞及正常细胞。S-100 A4是一个与细胞分化及肿瘤的发生、转移、预后密切相关的蛋白,常用于肿瘤的研究。 | ||
![]() | ||
| 阑尾石蜡切片,用 S-100 A4(GT2420)染色,细胞膜/细胞浆/细胞核阳性,DAB 显色。 | ||
| 货号 | GT242002 |
| 规格 | 2.0ml |



