产品中心
Products
WT1 兔抗人 WT1 抗体试剂(免疫组织化学)
浏览次数:616 发布时间:2023-03-23
| 沪闵械备20210052号 | ||
| 克隆号:EP122 | 种属:兔 | 适用染色系统:GTvisionTM |
| 预处理:高pH热修复 | 阳性部位:细胞核 | 阳性对照:扁桃体/肾母细胞瘤 |
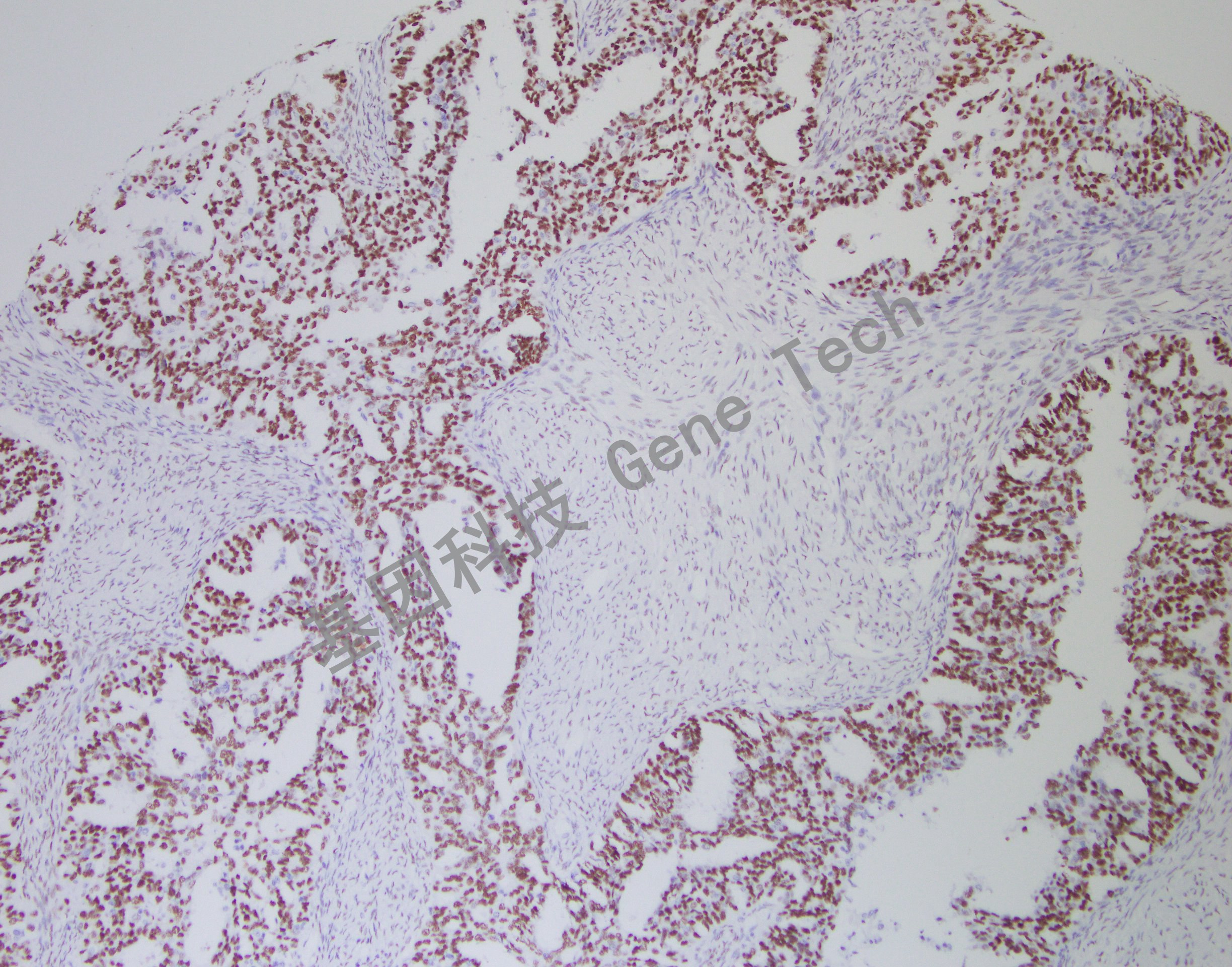
| 简介:WT1(Wilms' Tumor 1)由11号染色体上的WT1基因编码,在正常泌尿生殖道的发育中起重要作用,在wilm氏瘤中突变失活从而导致该肿瘤发生而得名。其在细胞内可与p53结合从而发挥其抑癌作用。免疫组化检测可在75%的间皮源性良性及恶性肿瘤、输卵管上皮及输卵管/卵巢浆液性腺癌中高表达(核阳性)。目前妇科病理免疫组化中WT-1可用于:输卵管/卵巢浆液性腺癌的诊断与鉴别诊断;转移性内膜浆液性腺癌与原发性内膜浆液性腺癌的鉴别诊断(内膜原发常为阴性);间皮源性辅助标记;卵巢性索间质肿瘤的辅助标记。 | ||
![]() | ||
| 卵巢癌石蜡切片,用 WT1(GT2450)染色,细胞核阳性,DAB 显色。 | ||
| 货号 | GT245002 | GT245007 | GT245029 |
| 规格 | 2.0ml | 7.0ml | 0.2ml浓缩液 |



