学术中心Academic Centers
联系我们
EZH2:一种敏感的恶性唾液腺肿瘤标志物
浏览次数:1569 发布时间:2019-01-15
EZH2:一种敏感的恶性唾液腺肿瘤标志物
作者:沈邢
果蝇zeste基因增强子同源物(enhancer of zeste homolog2,EZH2)催化组蛋白H3第27为赖氨酸三甲基化(trimethylated lysine-27 of histone H3,H3K27m3),调节染色体结构为其主要作用。大量研究显示,包括乳腺癌、前列腺癌、消化道肿瘤以及宫颈癌等多种肿瘤都有EZH2的高表达,与肿瘤的恶性进程、侵袭性、转移能力关系密切。
2015年9月Szofia Hajósi-Kalcakosz在《DIAGNOSITIC PATHOLOGY》发表论文,提出EZH2可以作为恶性唾液腺肿瘤的一种敏感性标记。
唾液腺肿瘤并非最常见的肿瘤类型,目前病理诊断主要依赖传统的HE染色,但多样化的肿瘤类型,重叠的组织学特性使明确诊断唾液腺肿瘤对于病理医生来说也是一种挑战。
作者使用单克隆EZH2抗体( Clone:11),以常规IHC染色方法对40例良性、54例恶性唾液腺肿瘤进行了测试并对染色作了评价。
评价标准
阳性率(胞核) | <5% | 5-10% | 11-50% | >50% |
评价 | 阴性 | 弱阳 | 中阳 | 强阳 |
计分 | 0 | 1 | 2 | 3 |
实验结果显示,所有良性肿瘤病例(40/40)EZH2呈阴性表达,而大多数恶性肿瘤病例(52/54)呈阳性表达。作者最后认为绝大多数恶性唾液腺肿瘤EZH2阳性,免疫组化检测EZH2表达状况可以成为鉴别上述恶性肿瘤的有用工具。当然,该方法无法区分不同类型的唾液腺癌。

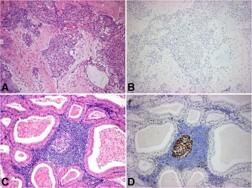
Fig.1 (a) H&E染色;(b) EZH2染色,多形性腺瘤(40x); 所有的肿瘤结构中,仅存少量散在的阳性(<5%);(c) H&E染色; (d) EZH2染色,Warthin肿瘤(40x); 肿瘤的上皮部分为阴性,而淋巴细胞通常阳性

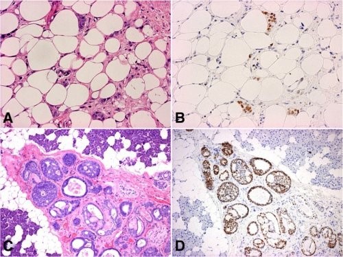
Fig.2(a) H&E染色; (b) EZH2染色, 黏液表皮样癌周围的脂肪组织(80x); EZH2染色标记散在的肿瘤细胞; (c) H&E染色; (d) EZH2染色, 腺样囊性癌 (80x); 肿瘤细胞核阳性
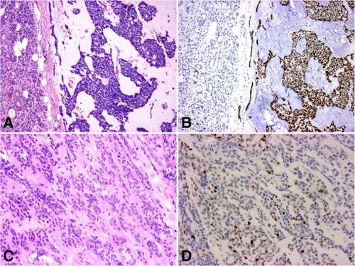
Fig.3(a) H&E染色;(b) EZH2染色,分化差的多形性腺瘤癌(40x);肿瘤组织呈强阳性,周围的正常唾液腺阴性; (c) H&E染色; (d) EZH2染色,多形性低度恶性腺癌(80x);呈EZH2异质性染色, 20 % 胞核阳性。
参考文献:
[1] Hajósi-Kalcakosz S, Vincze E, Dezső K, et al. EZH2 is a sensitive marker of malignancy in salivary gland tumors[J]. Diagnostic Pathology, 2015, 10:1-5.
(欢迎转载,来源请注明:基因科技)

