产品中心
Products
脱蜡热修复液
浏览次数:2082 发布时间:2019-11-25
脱蜡热修复液
沪闵械备20160012号
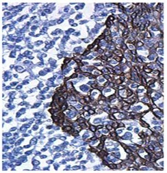
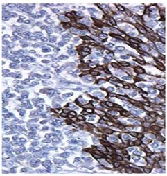
常规的免疫组化操作是把烤片后的石蜡切片经2-3次二甲苯、多次梯度酒精进行脱蜡水化,随后进行相应的抗原修复流程,耗时长,而且二甲苯具有较强的挥发性,长期吸入将会给技术人员的健康带来隐患。基因科技充分考虑病理科的现状和困扰,研发出新型脱蜡抗原修复缓冲液,该系列产品适用于石蜡切片的脱蜡和抗原热修复(柠檬酸/ 枸橼酸、EDTA),将常规的脱蜡、抗原修复、水化三个步骤合而为一。不仅节省实验时间和步骤,更重要的是改善了实验环境,减少了有机溶剂对操作人员健康的危害,同时,脱蜡效果与二甲苯脱蜡效果相当(见下图)。
产品特点:
脱蜡-入水-抗原修复,三步合并一步完成
脱蜡干净,有助于后期染色
安全,环保


二甲苯处理 脱蜡修复液处理
订货信息:
| 货号 | 产品名 | 规格 | 备注 | ||
| GT102410 | 三合一脱蜡热修复缓冲液 | 250ml | 高pH(30×) | ||
| GT102510 | 三合一脱蜡热修复缓冲液 | 250ml | 低pH(30×) | ||
| GT102610 | 三合一脱蜡热修复缓冲液 | 250ml | 中pH(30×) | ||


