产品中心
Products
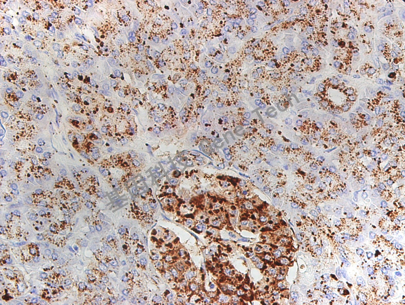
Cathepsin D 鼠抗人 组织蛋白酶D(CathepsinD)
浏览次数:976 发布时间:2019-11-25
| 克隆号:C5 | 阳性对照:乳腺癌/胰腺癌 | 阳性部位:细胞浆 |
| 预处理:高pH热修复 | 适用:石蜡切片/冰冻切片 | 显色系统:GTvisionTM |
简介:CathespinD 是一种广泛存在于细胞中的胞内溶酶体酶,与肿瘤的浸润与转移有一定的相关性,在乳腺癌及其它一些恶性肿瘤中有过表达现象。研究表明CathespinD 常表达于ER 阴性的乳腺癌,与乳腺癌的增殖和转移相关。 | ||
![]() | ||
| 胰腺癌石蜡切片,用 Cathepsin D(GT2033)染色,细胞浆阳性,DAB 显色。(40×) | ||
| 货号 | GT203302 | GT203307 | GT203329 |
| 规格 | 2ml | 7ml | 0.2ml浓缩液 |



