产品中心
Products
Podoplanin 鼠抗人 Podoplanin 抗体试剂(免疫组织化学)
浏览次数:789 发布时间:2019-11-14
| 沪闵械备20210124号 | ||
| 克隆号:ZM31 | 种属:鼠 | 适用染色系统:GTvisionTM |
| 预处理:高pH热修复 | 阳性部位:细胞膜/细胞浆 | 阳性对照:扁桃体/淋巴结 |
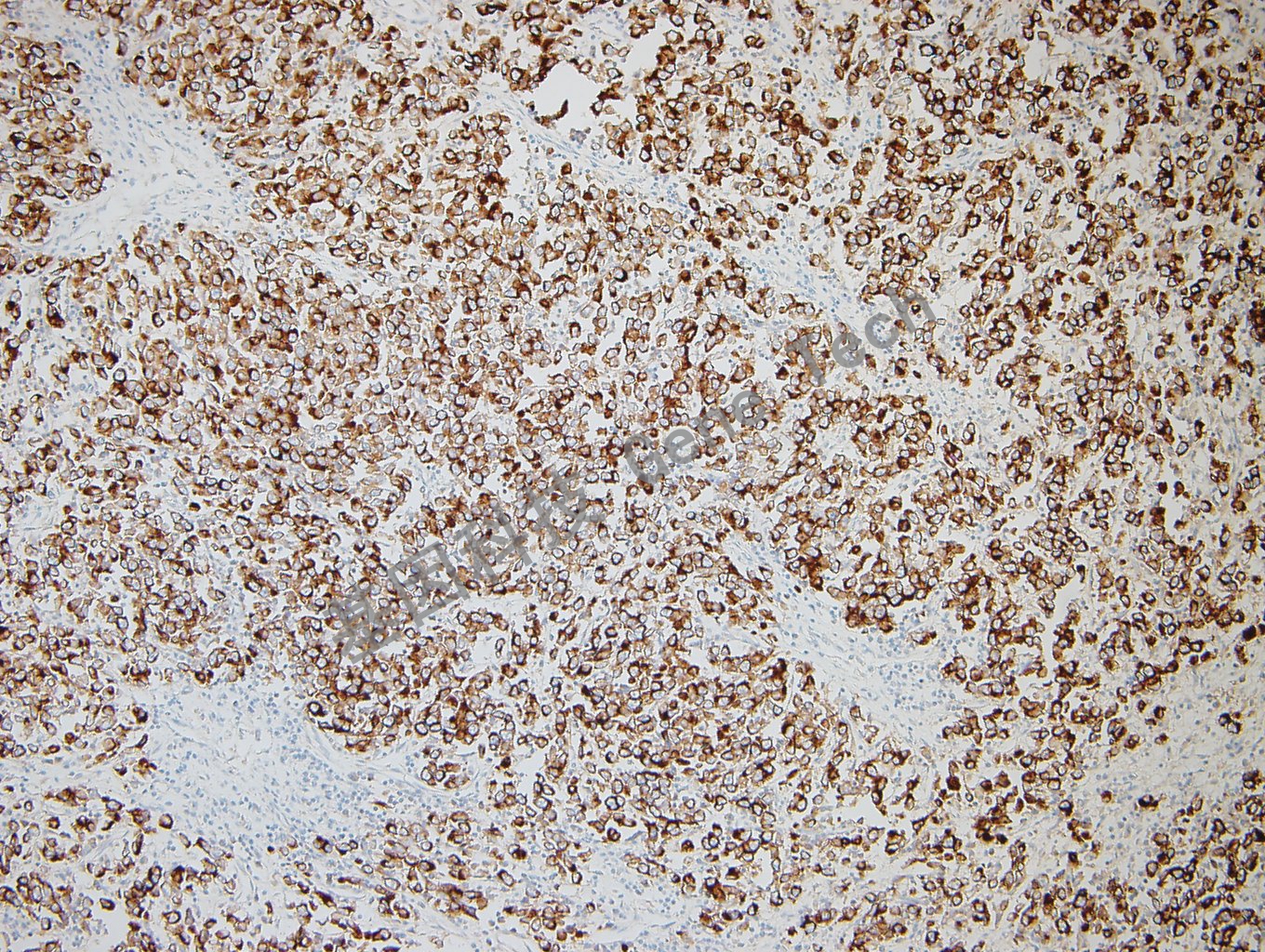
| 简介:Podoplanin又叫D2-40或M2A,是Ⅰ型跨膜黏蛋白。可表达于淋巴管内皮细胞及间皮细胞表面,也可表达于原始生殖细胞表面。在妇科病理,D2-40的用途主要有二:一是用于鉴定肿瘤内癌灶周围裂隙是否是淋巴管,从而明确有无脉管内癌栓;其二是D2-40特异表达于原始生殖细胞肿瘤中的无性细胞瘤,从而可作为一组鉴别诊断标记之一被应用。 | ||
![]() | ||
| 精原细胞瘤石蜡切片,用 Podoplanin(GT24609)染色,细胞膜/细胞浆阳性,DAB 显色。 | ||
| 货号 | GT246002 | GT246007 | GT246029 |
| 规格 | 2.0ml | 7.0ml | 0.2ml浓缩液 |



