公司动态Dynamic Company
联系我们
【喜讯】基因科技2022年NordiQC免疫组化室间质评(RUN64 B33)再获佳绩
浏览次数:4349 发布时间:2022-04-27
NordiQC北欧质控中心
NordiQC 是一个独立的非营利性专业科学组织。致力于组织开展免疫组化技术室间质控活动。通过安排免疫组化能力测试方案并提供推荐方案示例、组织控制和其他相关信息(包括表位描述和技术方案参数)来提高免疫组化质量并扩大其临床应用。
在2022年的NordiQC室间测评活动中(RUN64/B33),采用我司全自动免疫组化染色平台进行质控测评,再次获得优异成绩:

图1.2022 RUN64 B33免疫组化测评活动,基因科技成绩
ER
407个实验室参与并获得了89%(54%优异)的合格率,与B32中的水平相同。rmAb 克隆 SP1 和 EP1 以及单克隆克隆 6F11 都可用于提供优异结果。扁桃体可推荐为阳性和阴性组织对照。

图2. 基因科技免疫组化测评结果图:ER(GT2056) 宫颈

图3. 基因科技免疫组化测评结果图:ER(GT2056) 乳腺癌
HER2
384个实验室参加了测试,获得了82%(54%优异)的通过率,与最近的B32轮评估几乎相同,与前三次评估B29-B31中的水平相比略有降低。结果不足的主要原因是假阴性结果或信噪比差,影响了读数。

图4.基因科技免疫组化测评结果图:HER2(GT2245) 乳腺癌1-2+

图5.基因科技免疫组化测评结果图:HER2(GT2245) 乳腺癌3+
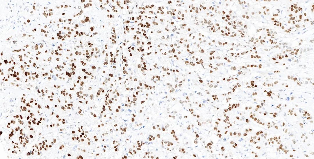
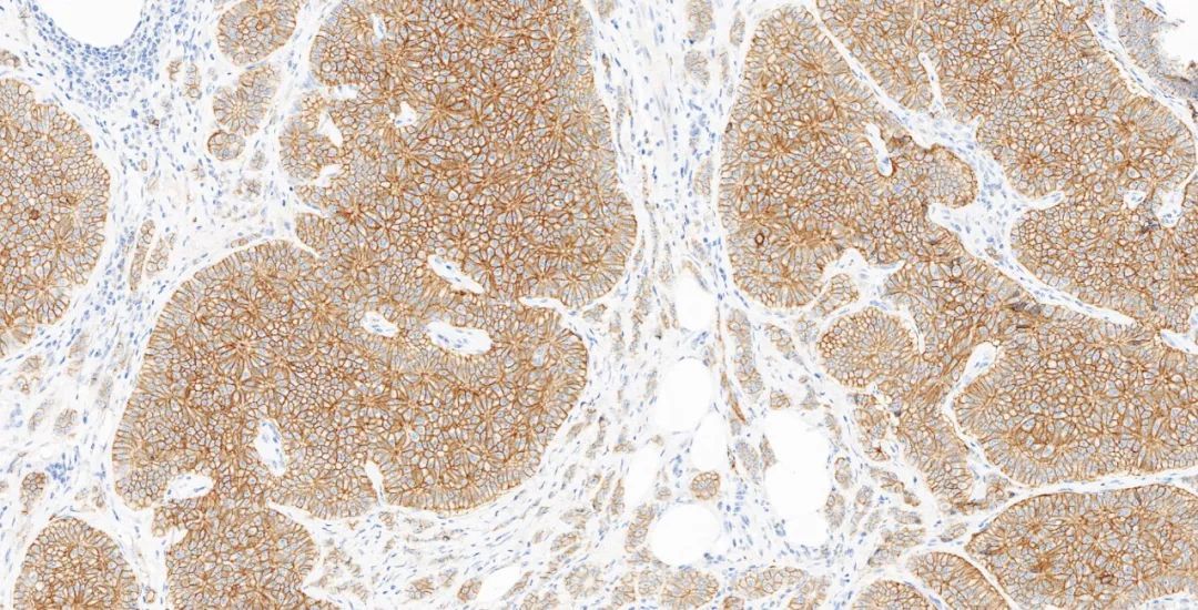
PR
404个实验室参与并获得了91%(61%优异)的通过率,与过去三轮水平相当。扁桃体和子宫颈的组合被发现是值得推荐的阴性和阳性组织对照。

图6.基因科技免疫组化测评结果图:PR(GT2057) 宫颈

图7.基因科技免疫组化测评结果图:PR(GT2057) 乳腺癌
CR
339个实验室参与,合格率为76%(获得优异结果的比例为50%)。总共有11种不同的Abs/克隆可以提供优异结果。80%的参与者使用RTU。

图8.基因科技免疫组化测评结果图:CR(GT2009) 间皮瘤

图9.基因科技免疫组化测评结果图:CR(GT2009) 肾上腺
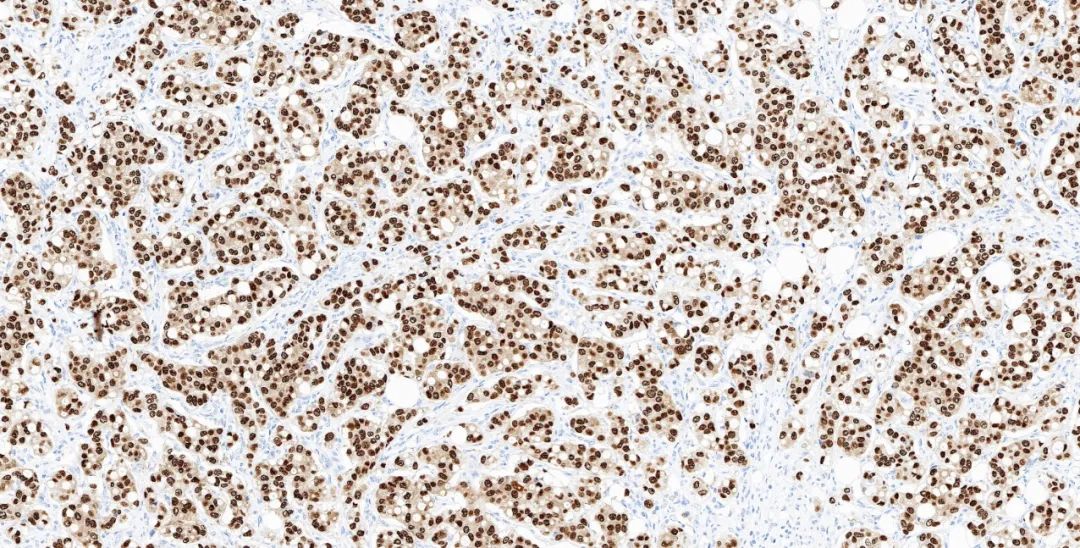
CD56
364个实验室参与,合格率为72%(获得优异结果的比例为47%)。通过率比最近2021年的第61轮略有增加。与CD56的所有轮次的评估类似,关键是使用基本的高灵敏度实验方案设置,最重要的是克隆的选择。

图10.基因科技免疫组化测评结果图:CD56(GT2005) 神经内分泌肿瘤

图11.基因科技免疫组化测评结果图:CD56(GT2005) 阑尾
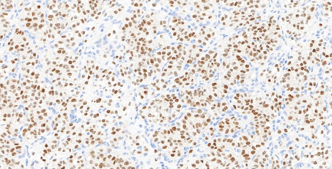
SATB2
173个实验室参加了SATB2的第二次评估,获得了75%(获得优异结果的比例为42%)的通过率,比2020年第58期的58%有所提高。大多数参与者使用rmAb克隆EP281,并且发现与其他Abs(例如,单克隆SATBA4B10和pAbs)相比更成功。在LD测定中使用时,可以在所有主要的全自动IHC平台上获得EP281的优异结果,特别是当在碱性缓冲液和3步检测系统中与HIER一起应用时。EP281的LD测试和RTU提供了类似的性能。

图12.基因科技免疫组化测评结果图:SATB2(GT2294) 结肠腺癌

图13.基因科技免疫组化测评结果图:SATB2(GT2294) 直肠乙状结肠神经内分泌肿瘤
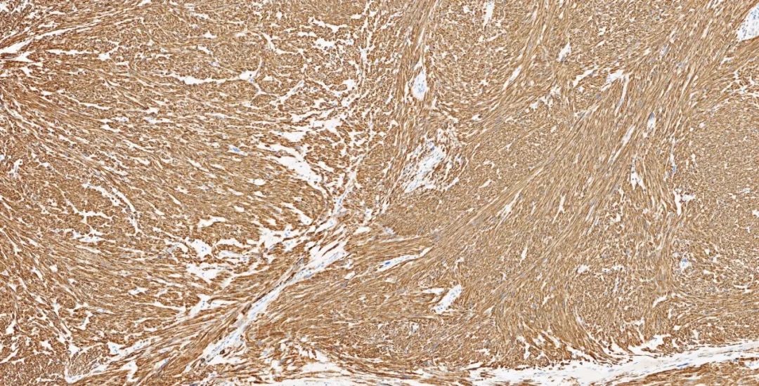
DES
370个实验室参与,合格率为69%(获得优异结果的比例为41%)。

图14基因科技免疫组化测评结果图:.DES(GT2252) 阑尾

图15.基因科技免疫组化测评结果图:.DES(GT2252) 平滑肌肉瘤
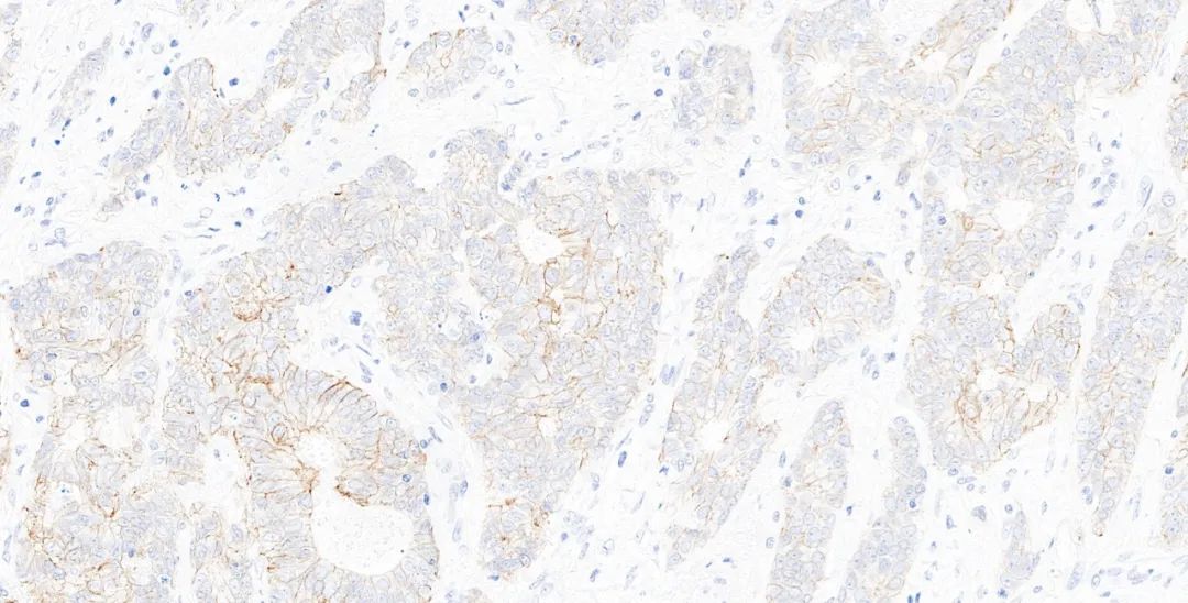
PAX8
337个实验室参与,合格率为52%(获得优异结果的比例为27%)。通过率现在从2019年第56届的37%的低水平略有提高。广泛使用的单克隆抗体克隆MRQ-50的性能较差,特别是在Ventana BenchMark和Dako Omnis平台上,分析灵敏度太低,同时它还对B细胞中PAX5等其他PAX亚型产生交叉反应。

图16. 基因科技免疫组化测评结果图:PAX8(GT2102) 输卵管

图17. 基因科技免疫组化测评结果图:PAX8(GT2102) 肾透明细胞癌(RCC)
产品信息

