公司动态Dynamic Company
联系我们
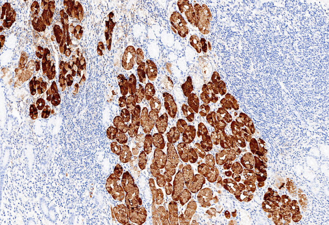
【新品单抗】Pepsinogen I
浏览次数:2681 发布时间:2022-02-10
产品简介
胃蛋白酶原Ⅰ(PepsinogenⅠ)主要由胃底腺的主细胞和黏液颈细胞分泌,当胃黏膜发生萎缩时,主细胞数量减少,Pepsinogen Ⅰ分泌减少。因此,Pepsinogen Ⅰ可在一定程度上反映胃黏膜的分泌功能和病理状态,在胃癌及慢性萎缩性胃炎的诊断中具有重要的临床意义。
| 克隆号 | 定位 | 阳性对照 | 修复条件 |
| 7G3 | 细胞浆 | 胃 | 高PH热修复 |

胃石蜡组织,用Pepsinogen I染色,DAB显色
