公司动态Dynamic Company
联系我们
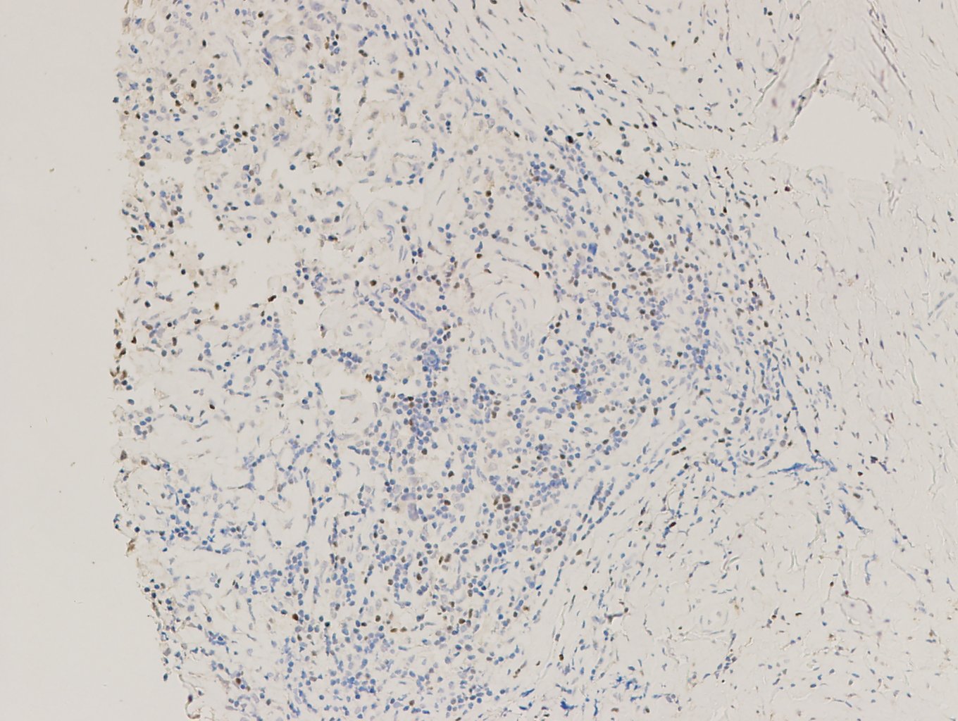
【新品单抗】FOXP3
浏览次数:1074 发布时间:2021-12-02
产品简介
叉头框蛋白3(FOXP3)是Forkhead转录因子家族的重要成员,研究发现其表达于多种不同组织起源的肿瘤细胞中,并且这种表达受到多种机制的调控。
| 克隆号 | 定位 | 阳性对照 | 修复条件 |
| EP340 | 细胞核 | 淋巴瘤 | 高PH热修复 |

霍奇金淋巴瘤,FOXP3染色,DAB显色
