公司动态Dynamic Company
联系我们
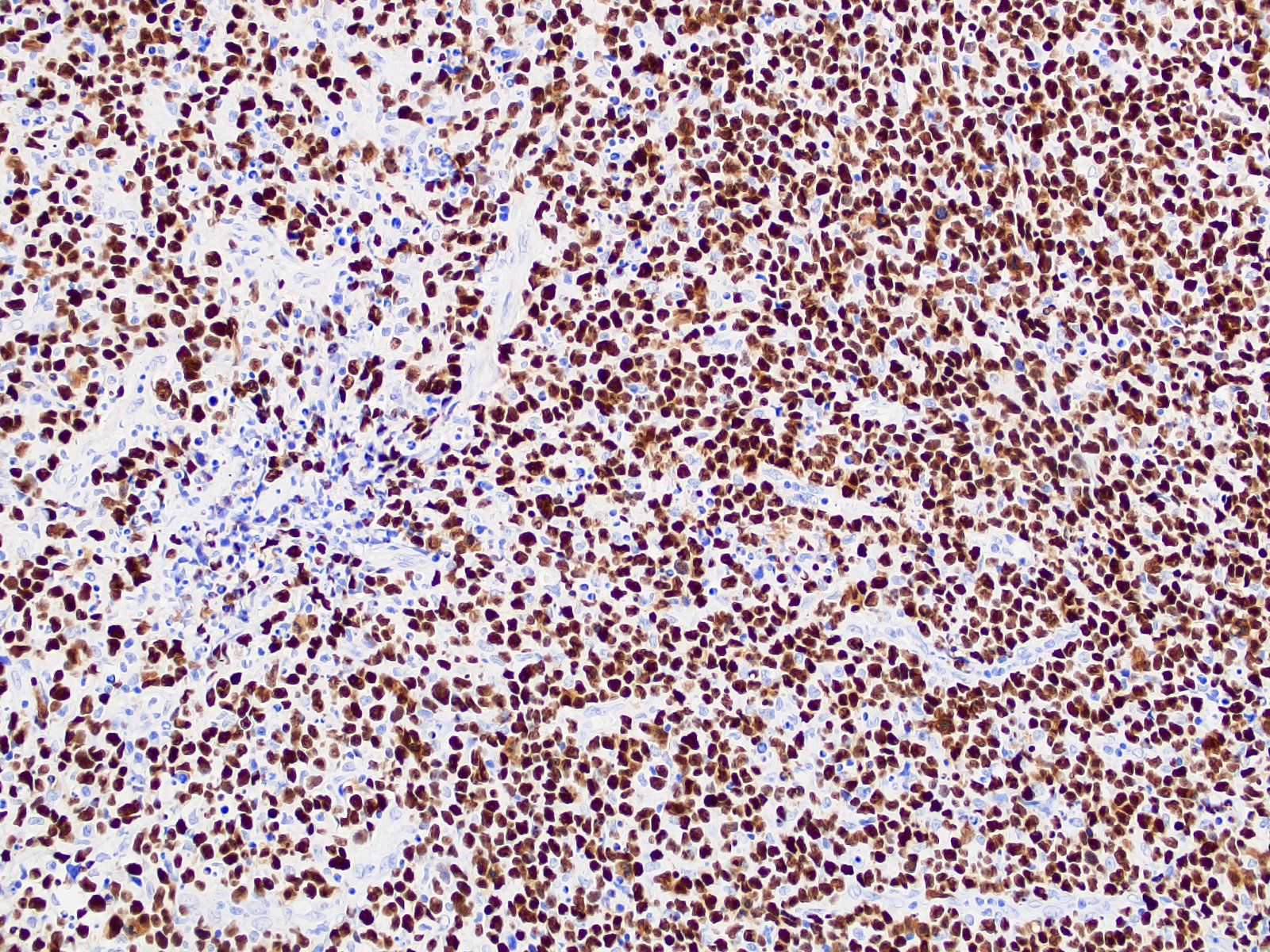
【新品】EBER探针(原位杂交法)
浏览次数:1126 发布时间:2021-11-23
产品简介
使用地高辛标记的DNA探针与EB病毒转录出的小分子RNA结合,然后加入一抗(鼠抗地高辛抗体)来识别组织切片上地高辛标记的靶点,然后加入辣根过氧化物酶HRP标记的二抗来检测一抗(鼠抗地高辛抗体),最后通过DAB染色液的显色作用在靶点部位形成棕褐色不溶性产物。

NK细胞淋巴瘤,EBER染色
