公司动态Dynamic Company
联系我们
【新品】p16/Ki-67检测试剂盒(免疫组织化学法)
浏览次数:1019 发布时间:2021-11-22
产品简介
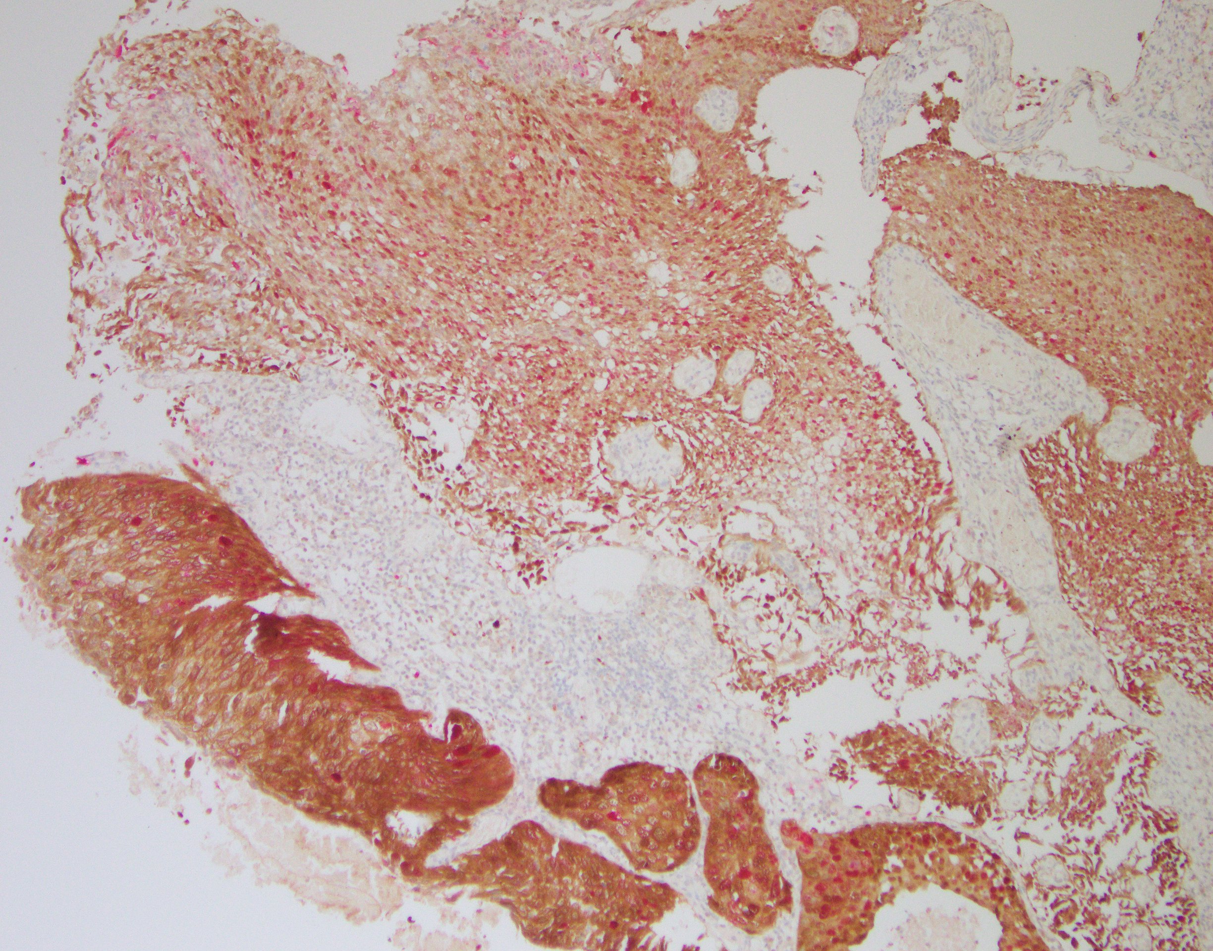
本试剂基于免疫组织化学检测原理:组织经抗原热修复处理后与一抗试剂(p16/Ki-67)进行孵育,在原位形成目标抗原-抗体复合物;抗原-抗体复合物中的 p16 抗体与辣根过氧化物酶(HRP)标记的聚合物二抗孵育结合,通过催化二氨基联苯胺(DAB)在细胞浆/细胞核上形成棕色沉积物;抗原-抗体复合物中的 Ki-67 抗体与碱性磷酸酶(AP)标记的聚合物二抗孵育结合,通过催化 AP 显色液在细胞核上形成玫瑰红色沉积物。光学显微镜下通过观察细胞的染色情况来确定是否存在目标抗原的表达。

高级别CIN组织,p16/Ki-67双染
