公司动态Dynamic Company
联系我们
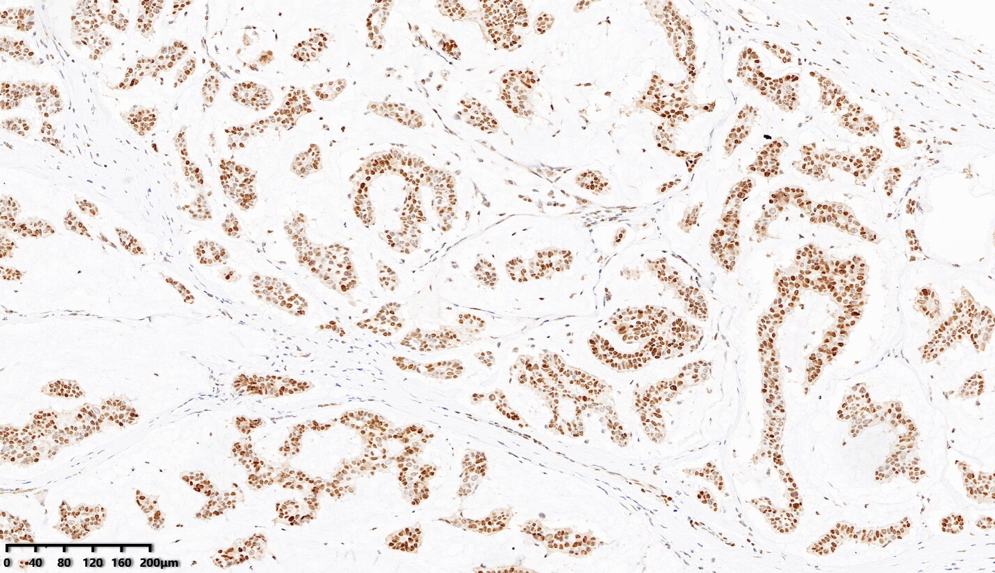
【新品单抗】BRCA1
浏览次数:1055 发布时间:2021-11-11
单克隆兔抗人BRCA1
产品简介
BRCA1定位于染色体17q21,共22个外显子,编码1863个氨基酸的磷酸蛋白,参与BRCA1相关基因组监视复合体(BASC),与修复DNA双链断裂相关,是一种肿瘤抑制基因。BRCA1基因的突变与遗传性乳腺癌/卵巢癌相关,并可累及其他器官,为一组癌症易感性增高疾病,发病率约1/1000~1/500。约5%的乳腺癌患者发现有BRCA1或BRCA2基因的突变。BRCA1基因的突变或启动子高甲基化可导致BRCA1蛋白抑癌功能的缺陷或表达缺失。
| 克隆号 | 定位 | 阳性对照 | 修复条件 |
| EPR19433 | 细胞浆/细胞核 | 乳腺癌 | 高PH热修复 |

乳腺癌,BRCA1染色,DAB显色
