公司动态Dynamic Company
联系我们
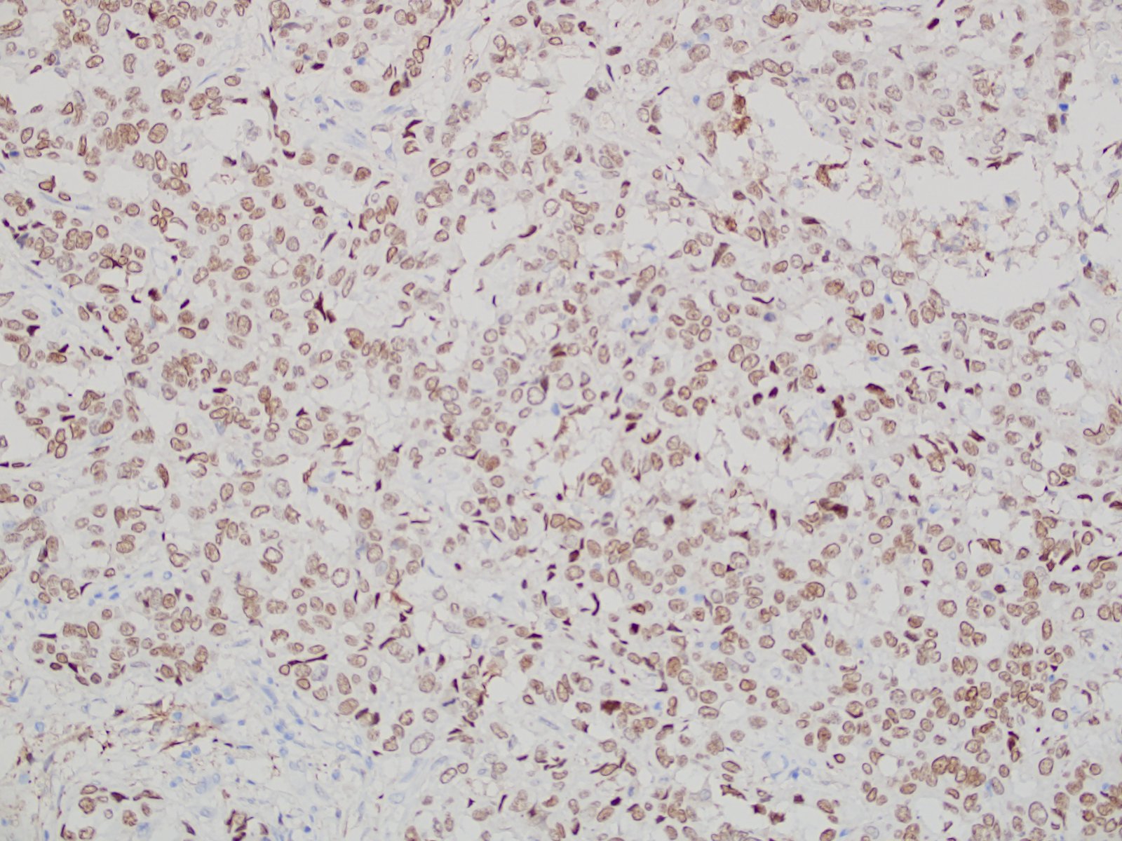
【新品单抗】TRPS1
浏览次数:1644 发布时间:2021-11-09
单克隆兔抗人TRPS1
产品简介
TRPS1属于GATA转录因子家族,位于人类染色体8q23-24中,起着核锌指蛋白的作用。TRPS1在多种人类实体恶性肿瘤中存在异常表达,其编码蛋白在不同肿瘤组织中呈现出了特异性表达,且表达水平因肿瘤的组织来源不同而存在差异。已有研究表明:TRPS1标记对所有类型乳腺癌均具有较好的特异性及敏感性,特别是对于三阴型乳腺癌。
| 克隆号 | 定位 | 阳性对照 | 修复条件 |
| EPR16171 | 细胞核 | 乳腺癌 | 高PH热修复 |

新产品优势及特点
乳腺癌新指标
特异性高,染色效果好
独有产品
