公司动态Dynamic Company
联系我们
【新品单抗】PHH3和NeuN
浏览次数:1868 发布时间:2019-11-22
1.多克隆兔抗人磷酸化组蛋白 H3 ( PHH3 )
Polyclonal Rabbit Anti Human PHH3
产品简介: 磷酸化组蛋白 H3( PHH3)是一种核心组蛋白,它和其他组蛋白构成了真核细胞染色质的主要蛋白组分。在哺乳动物细胞中, PHH3在间期表达量可以忽略,但在有丝分裂的染色质凝聚时达到最高值。免疫组化研究显示, PHH3抗体可特异性检测处于第10、28位丝氨酸磷酸化时的核心组蛋白 H3。研究还证实在细胞凋亡期间,组蛋白 H3未被磷酸化。因此, PHH3可作为有丝分裂特异性标记物,鉴别细胞凋亡体、核分裂碎片,对于中枢神经系统肿瘤、黑色素瘤、软组织肿瘤、 GIST等,有助于肿瘤病理分级,预后判断等。
克隆号: 多克隆
修复条件: 高pH热修复
阳性部位: 胞核
阳性对照: 扁桃体
货号 | 规格 | 备注 |
GT219302 | 2ml | 工作液 |
GT219304 | 4ml | 工作液 |
GT219307 | 7ml | 工作液 |
GT219329 | 0.2ml | 浓缩液 |

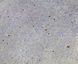
扁桃体用PHH3(GT2193)染色,肿瘤细胞胞核着色,DAB染色
2. 单克隆鼠抗人神经元核抗原 (NeuN)
Monoclonal Mouse Anti Human Neuronal-Nuclei(NeuN)
产品简介: NeuN抗体识别DNA结合、神经元特异核蛋白,在多种脊椎动物中枢神经系统和外周神经系统的大部分神经细胞中存在表达,其染色主要位于神经元细胞核、核周体及成人和胎儿脑组织的近神经端,而在视网膜细胞、 Cajal-Retzius细胞、Purkinje细胞等中不表达。通常,只有神经元细胞有丝分裂后期或神经元终端分化的起始点才能短暂观察到该抗体的免疫反应,而在细胞增殖时期NeuN不表达。因此,该抗体在识别神经元及其来源的肿瘤有重要价值。
克隆号: A60
修复条件: 高pH热修复
阳性部位: 胞核
阳性对照: 脑组织
货号 | 规格 | 备注 |
GT219402 | 2ml | 工作液 |
GT219404 | 4ml | 工作液 |
GT219407 | 7ml | 工作液 |
GT219429 | 0.2ml | 浓缩液 |
脑胶质细胞瘤用 NeuN(GT2194)染色,肿瘤细胞胞核着色,DAB显色
