公司动态Dynamic Company
联系我们
【新品单抗】SALL4(克隆号6E3)
浏览次数:1444 发布时间:2019-11-22
单克隆鼠抗人SALL4(克隆号:6E3)
Monoclonal Mouse Anti-Human SALL4
产品简介 :SALL4 是一种新确定的锌指转录因子,它通过调节OCT4来维持胚胎干细胞的多能性。SALL4是一种具有高度灵敏度和特异性的转移性生殖细胞肿瘤标记物,可以应用于转移性卵黄囊瘤的检测。它在精原细胞瘤阳性(100%),无性细胞瘤阳性(100%),胚胎癌阳性(100%),卵黄囊瘤阳性(100%),畸胎瘤阳性(50% ),绒毛膜癌阳性(71%)。
克隆号:6E3
亚型:IgG1,kappa
修复条件:高pH热修复
阳性部位:胞核
阳性对照:精原细胞瘤
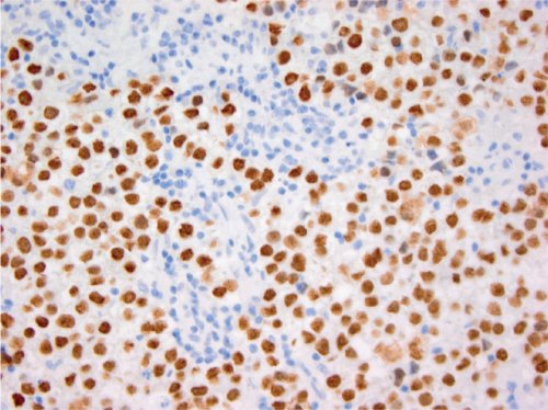
染色图:

管内生殖细胞瘤用SALL4(GT2190)染色,肿瘤细胞胞核着色,DAB显色
订货信息
货号 | 规格 | 备注 |
| GT219029 | 0.2ml | 浓缩液 |
| GT219002 | 2ml | 工作液 |
| GT219004 | 4ml | 工作液 |
| GT219007 | 7ml | 工作液 |
